Pure Orthodontics
Pure Orthodontics
Request an Appointment
Like us on Facebook
Instagram
Follow us on TikTok
(03) 9370 3155
Level 4 1070 Mt Alexander Road
Essendon 3040
Menu
Call
Book Now
Map
Home
About
Meet Our Team
Technology
Clinic Photos
Who We Treat
View All
Early Childhood Orthodontics
Teenage Orthodontics
Adult Orthodontics
Treatments
View All
Surgical Orthodontic Treatment
Fixed Orthodontic Braces
Early Treatment
Clear Aligners
Benefits of Orthodontics
Smile Gallery
New Patients
View New Patients
Your First Consultation
Fees and Insurance
FAQs
Contact
Pure Orthodontics
>
Smile Gallery
>
Orthodontics
Orthodontics
Return to Smile Gallery
Next
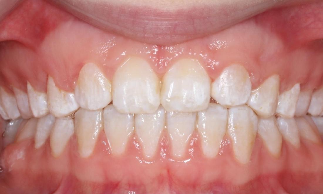
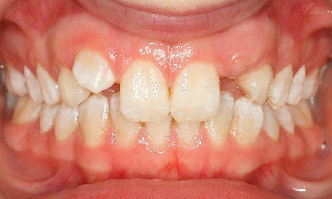
Missing up lateral incisors managed with space closure
Related Services:
Fixed Orthodontic Braces
Teenage Orthodontics
Drag the arrows back and forth to view complete Before and After views
Have Questions for Our Friendly Team?
Contact Us
Phone: (03) 9370 3155
Email: info@pureorthodontics.com.au
Any surgical or invasive procedure carries risks. Before proceeding, you should seek a second opinion from an appropriately qualified health practitioner.
OK!
×
×
Contact Us
Give Us A Call
Pure Orthodontics -
(03) 9370 3155
Send Us an Email
Request an Appointment
Contact
Ready to Schedule an Appointment?
Request an Appointment
Have Questions? Contact Us:
Required Field
Your Name:
Phone:
Email:
Are you a new patient?:
Are you a:
New Patient
Current Patient
How would you like us to contact you?
Please choose
Email
Call
Text
How did you hear about us?
Please choose
I'm an existing patient
Google/Bing
Dentist
Facebook
Instagram
TikTok
Friend
Family Member
Other
Who Referred You?:
Appointment Preferences
Monday
Tuesday
Wednesday
Thursday
Friday
Your Message:
This site is protected by reCAPTCHA and the Google
Privacy Policy
and
Terms of Service
apply.
Sending...
×
This Patient's Experience
Loading Testimonial...
Loading Case...