Smile Gallery
Check out our Smile Gallery to see the results we have provided to patients in our orthodontic clinic.
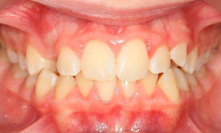
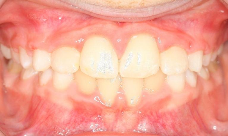
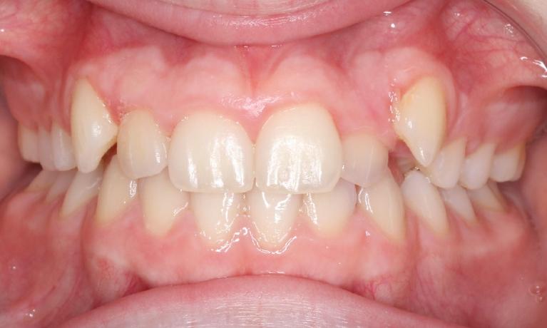
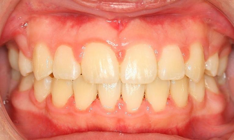
Before

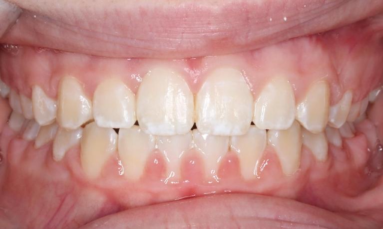
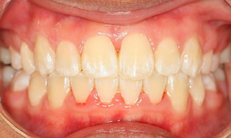
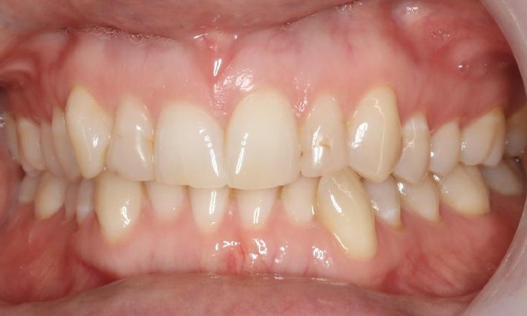
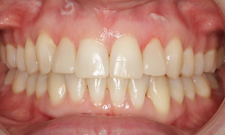
After

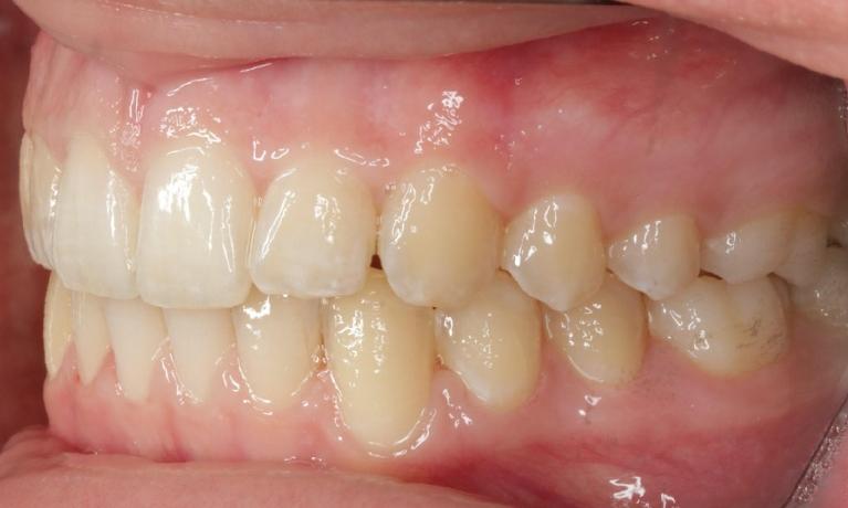
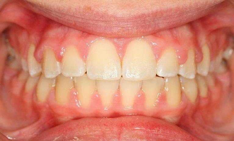
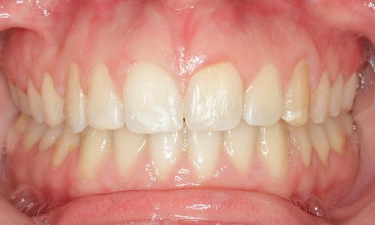
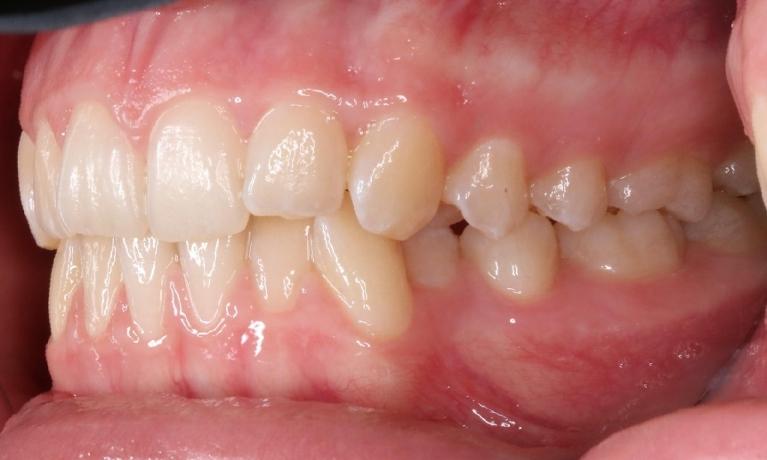
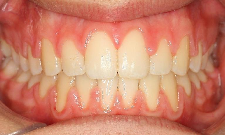
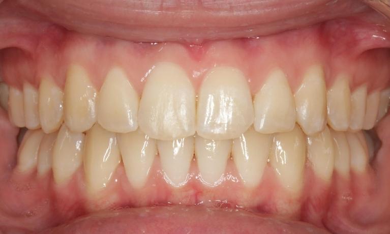
Orthodontics
Growth modification treatment and braces to correct protruding teeth
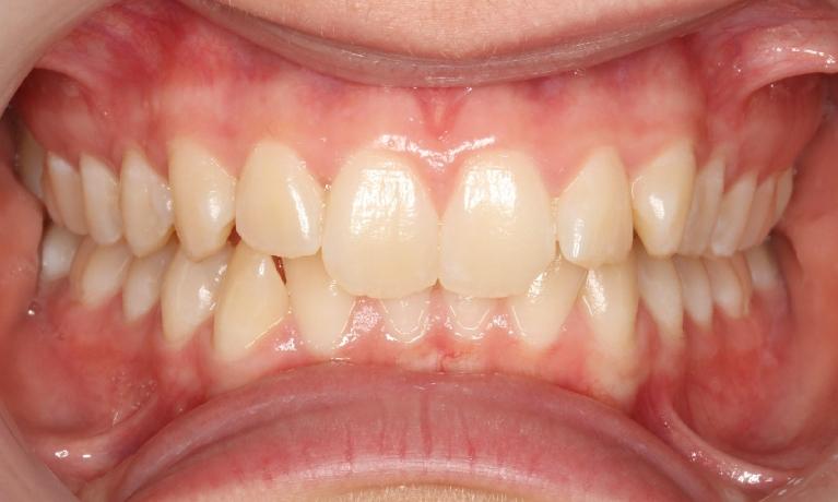
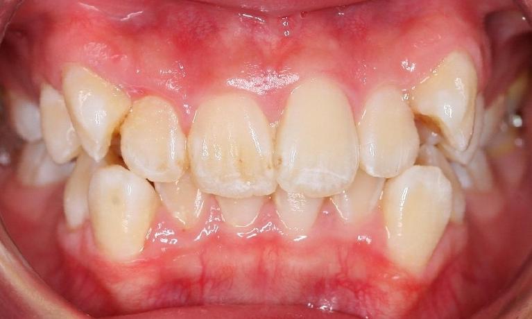
Before

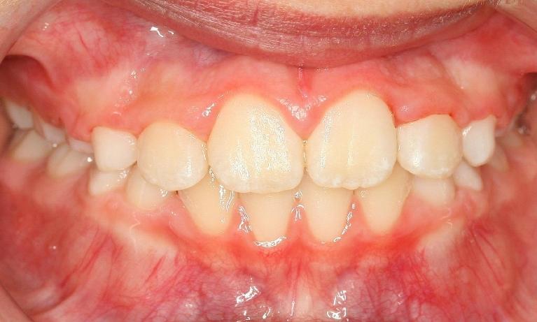
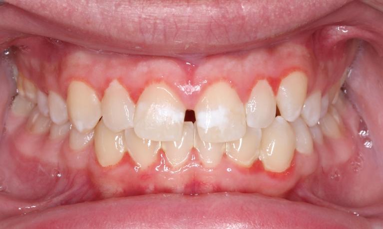
After

Orthodontics and Surgical Treatment
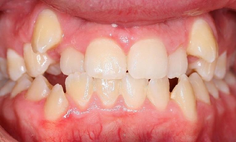
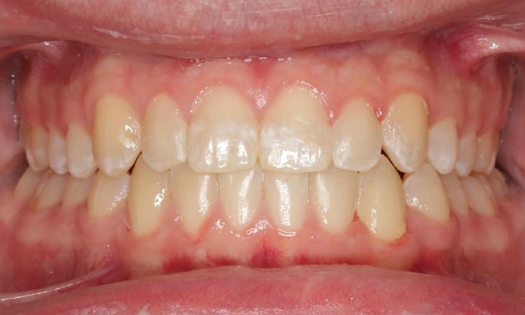
Jaw surgery and braces treatment to correct a severe cross-bite
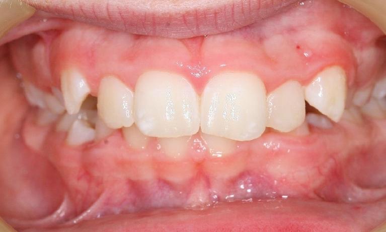
Before

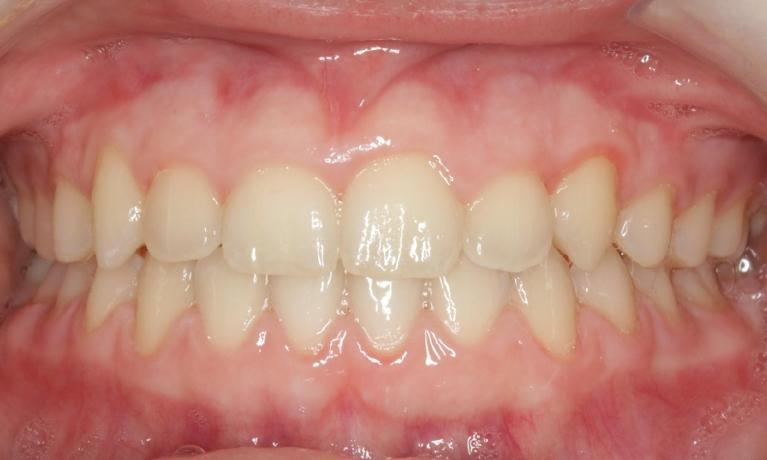
After

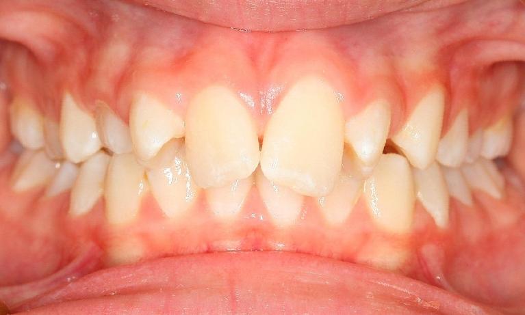
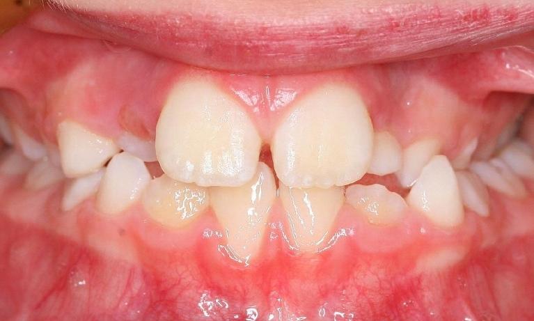
Early Childhood Orthodontics
Early treatment for cross-bite correction using partial braces
Before

After

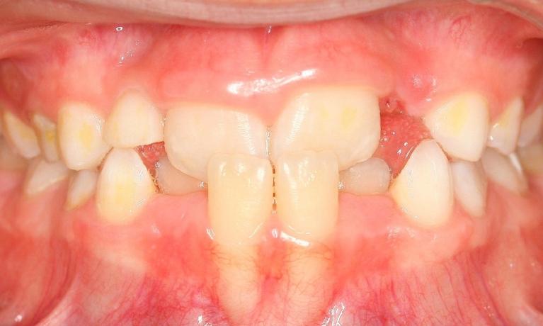
Protruding upper teeth and underdeveloped lower jaw treated with braces and jaw surgery
Before

After

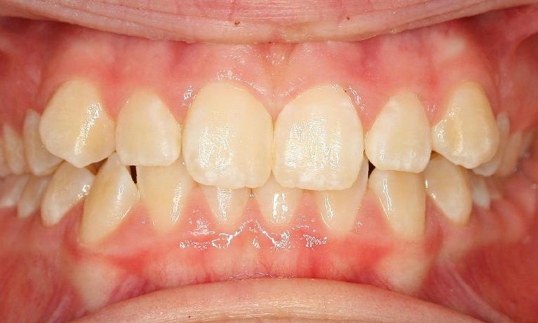
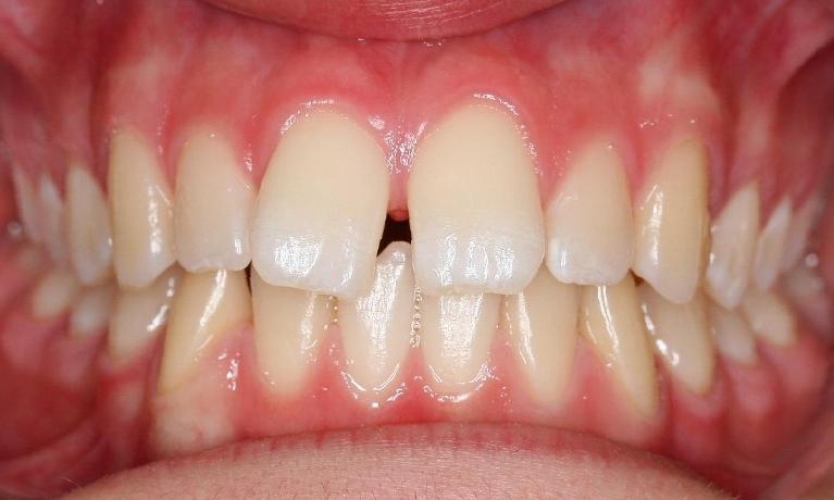
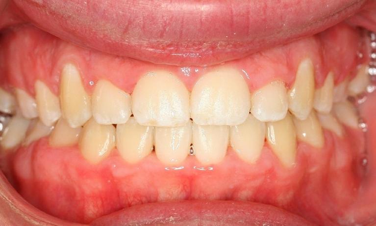
Growth modification treatment and braces to correct protruding teeth caused by an underdeveloped jaw
Ready to book an appointment?
Schedule Now