Skip to main content
Early Childhood Orthodontics
We Love Treating Children and Welcome Your Call
Contact Us

Early Childhood Orthodontics

At Pure Orthodontics, our Orthodontic Specialists, welcomes children of all ages. The Australian Society of Orthodontists recommends a child have their first assessment at around 7 years of age.

Does My Child Need Orthodontics?

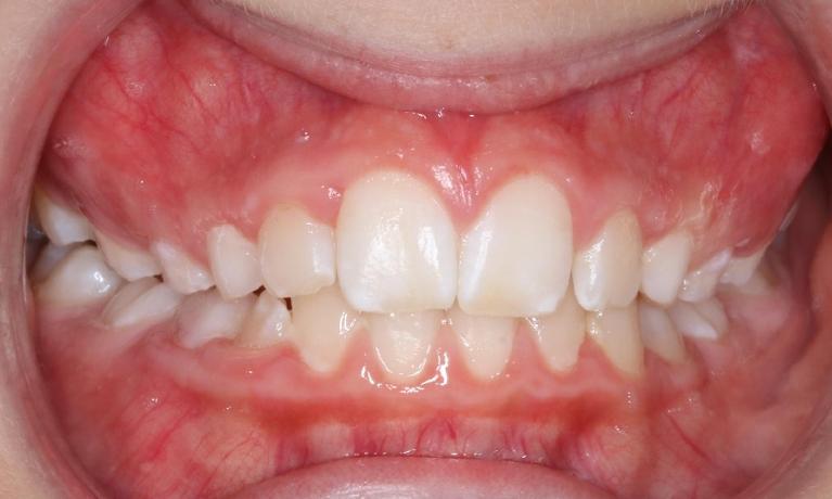
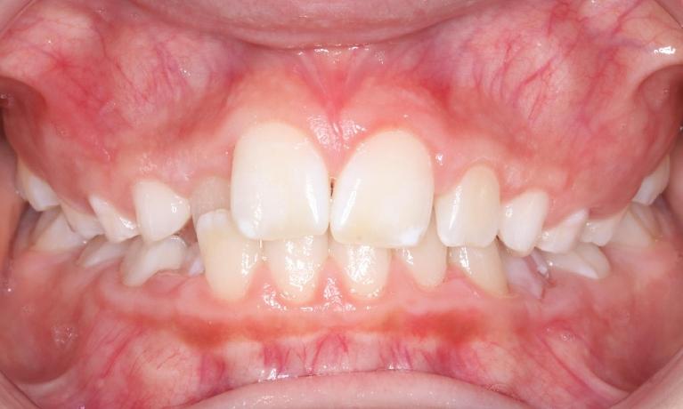
An early assessment is necessary to determine if your child would benefit from orthodontic treatment while they are young. There are 3 main reasons why we may recommend early treatment for your child:

  • To prevent irreversible wear and damage to the teeth and gums
  • To improve their jawbone relationships so that their teeth and jaws have the best chance of developing normally
  • To prevent their orthodontic problem from becoming worse

Between the ages of 7-10 is generally the ideal time for early interceptive treatment to correct jaws that are mismatched in size as young, growing jaws can be manipulated, while those in non-growing individuals cannot.

With appropriate early interceptive treatment, we can:

  • Reduce the risk of dental trauma if teeth protrude.
  • Preserve natural spaces where baby teeth have been lost early.
  • Correct a detrimental habit such as thumb-sucking or finger chewing.
  • Avoid the need for adult tooth extractions and jaw surgery in some cases.
  • Simplify and shorten future orthodontic treatment. 

Many children who have had early treatment will go on to have a second phase of orthodontic treatment once all the adult teeth have erupted.

Once your child has been examined, our Orthodontists will let you know if any early intervention is required. If your child is not ready to begin treatment, we will place them in our “Continuing Care Programme”. These patients will see our Orthodontists for complimentary growth and dental development checks as needed. These checks allow her to monitor the growth of your child closely, so that she can treat them at the ideal time.
 
There are, of course, many 7-10 year old children that don’t need early orthodontic intervention.  In many cases, it is simpler and just as effective to wait until further dental development occurs and address their orthodontic issues in a single phase of treatment.

To learn more about the orthodontic appliances we offer, please visit our early treatment page.

Does Your Child Need an Orthodontic Evaluation?

We invite you to call our Essendon orthodontic clinic to arrange a booking with one of our Orthodontists. Our friendly team awaits to help you and your little one get started toward a healthy, beautiful smile.

Frequently Asked Questions

The recommended age for a child’s first orthodontic assessment is around seven to eight years of age. At this age, a large number of orthodontic problems can be diagnosed, and sometimes early intervention is recommended to prevent more complicated problems from developing. If your child does not require any early orthodontic treatment, they will be placed in our complimentary continuing care programme so we can monitor their growth and dental development. That way, if any problems arise, they can be managed at the appropriate time.

Meet Our Doctors:

Dr Tracey Shell BDSc, Grad Dip Clin Dent (Ortho), MDSc
Specialist Orthodontist

In 2001, Tracey qualified as an orthodontist and in 2006 started Pure Orthodontics. Tracey loves being an orthodontist because of the difference it can make to a person’s life.  Aside from the physical transformation that comes with straight teeth, she really loves seeing her patient’s self-esteem improve.  Her favourite thing is getting to the end of a patient’s orthodontic journey and looking back at the photographs taken along the way.

Tracey obtained ...

Dr. Phillip Goh BDSc (Hons), DClinDent (Orth), MRACDS (Orth)
Specialist Orthodontist

Dr. Phillip Goh grew up in Melbourne, before moving to Brisbane to study dentistry & orthodontics at The University of Queensland. He graduated as valedictorian and with first class honours, before working as a Public Dental Officer in Bundaberg, and then in private general dental practice in Toowoomba and Brisbane.


After completing the Primary Examination in General Dental Practice with commendations, he returned to The University of Queensland, completing his ...

Early Childhood Orthodontics Technology

3-D Printed Appliances

3-D printing is a modern technology that allows us to create orthodontic appliances using the digital files created from our iTero scanner. Thanks to advances in 3-D printing, our laboratory can print an incredibly accurate model of your teeth, which is used in the fabrication of your custom-made appliance.  When possible, the appliances themselves are also 3-D printed, enabling us to provide our patients a range of appliances that fit more precisely, require less in-office appointments and are more comfortable than ever before.   We are incredibly proud that we can offer this this cutting-edge 3-D technology to our patients.

Arrange an Appointment for Orthodontic Care
Contact Us