Adult Orthodontics

Orthodontic treatment is not just for adolescents. Many people who missed out on having their teeth straightened as a child can still benefit from treatment as an adult. In fact, one in five orthodontic patients in Australia are adults!
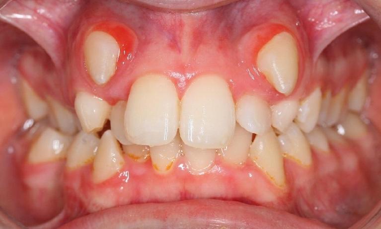
There are many benefits to adults having orthodontic treatment. Some of these benefits can be:
- Align crooked teeth to create a beautiful smile
- Improve the ability to brush and floss around particularly crowded teeth
- Close spaces from missing or extracted teeth
- Correct functional issues such as difficulty in biting or chewing
- Reduce the risk of excessive wear to the teeth due to grinding or difficulty in biting
- Create ideal space for prosthetics or implant teeth
- Surgical treatment plans to correct discrepancies in the jaws
Am I Too Old for Orthodontics?
The good news is that age is not a barrier to treatment! We’ve even had patients in their 70’s successfully undergo orthodontic treatment, so if you missed out on braces treatment as a child, or have noticed your teeth become more crooked with age, we can help.
After an examination, one of our orthodontists can provide advice on your orthodontic needs and go over potential treatment options with you.
Treatment for some adults is more complicated than that of teens, as many have heavily restored teeth or gum problems. If necessary, our orthodontists will work with other dental specialists, such as periodontists, oral and maxillofacial surgeons and prosthodontists to ensure the best results.
Traditional Braces vs Clear Aligners for Adults
Do I Have to Wear Metal Braces?
Understandably, many adults can be concerned about the appearance of traditional metal braces. In our clinic, we use Spark sequential plastic aligners, which can both be a great alternative to braces. For more complex cases, where braces are the most suitable option, we offer Damon Clear™ tooth-coloured ceramic braces.
Clear aligners offer a wonderful alternative to braces for many patients. In our orthodontic clinic, we use Spark clear aligners to help our patients straighten their teeth discreetly, conveniently and comfortably.
To make your treatment even easier, we use Dental Monitoring technology to track your clear aligner treatment remotely, which means you spend less time away from home or work visiting our clinic.
Orthodontic Treatment for Adults in Essendon
Our orthodontists and the rest of our experienced team are here to help you create a new, healthier smile with orthodontic treatment. Whether you simply desire straighter teeth or need more advanced orthodontic care, our team can assist you.
To book a consultation with Dr Shell or Dr Goh, reach out to our friendly and knowledgeable team at Pure Orthodontics.