Skip to main content
Surgical Orthodontic Treatment
Enjoy Better Oral Health with Orthodontics
Contact Us

Surgical Orthodontic Treatment

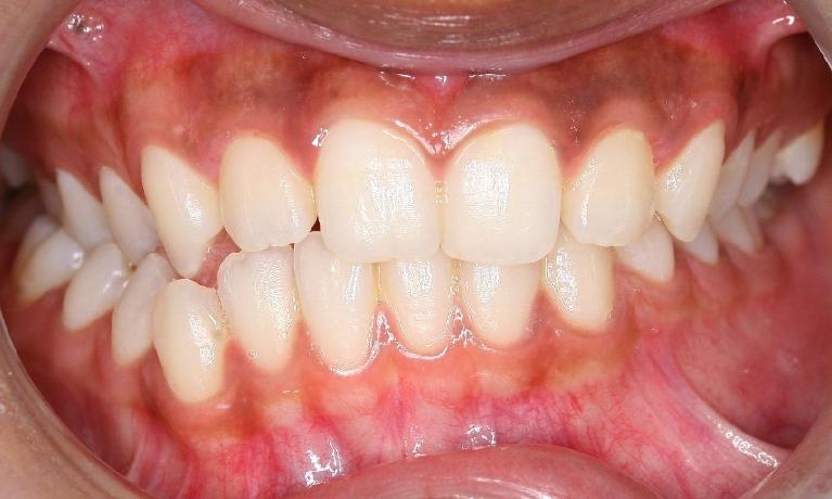
Some orthodontic problems are due to a mismatch in the size or position of the upper and lower jaws. In these cases, braces on their own cannot correct the problem and orthognathic, or jaw surgery, may be required to achieve the best result.

These bite problems are often associated with difficulties chewing food properly, speech or breathing problems and excessive wear of the teeth. Many people with misaligned jaws also express concerns about their appearance, such as a protruding lower jaw or a receding chin.

Our specialist orthodontist works with an oral and maxillofacial surgeon to ensure that if you need surgical orthodontics, you receive the best care possible.

How Do I Know If I Need Orthognathic Surgery?

Your initial consultation is designed to provide you with information regarding your bite problem and the various treatment options. If surgery is an option for you, your orthodontist will describe the steps associated with such treatment.

If you are interested in surgical treatment, we will arrange for you to have a consultation with an experienced oral and maxillofacial surgeon. During this appointment, the surgeon will explain the surgical aspects of treatment in detail, as well as the associated benefits, risks and complications.

How Do Orthognathic Surgery and Braces Work Together?

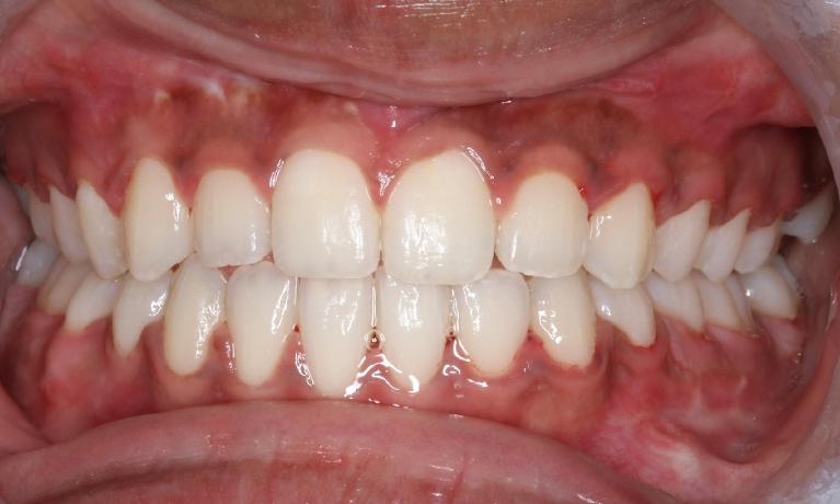
Most commonly, we begin your treatment by fitting the braces and straightening your teeth in preparation for surgery. It can take approximately 12 months to move the teeth into their correct positions. Once your orthodontist and the oral and maxillofacial surgeon are happy with the preparation, your jaw surgery is scheduled. This is done in a hospital environment, with most patients staying 1-2 days, depending on the type of surgery they are having done. You will still have your braces on during and following surgery, as the orthodontist needs to fine-tune your tooth positions to suit your new jaw bone structure.

What If I Don’t Want Surgery?

While orthognathic surgery is often the best way of correcting a bite, it is not for everyone. For many patients, an alternate option referred to as “Camouflage Treatment” can be performed. In these circumstances, we accept that the jawbones are misaligned and instead move the teeth to suit your particular jaw bone structure. In patients with mild to moderate jaw bone problems, camouflage treatment is commonly used and can achieve excellent results!

Find out More about Orthognathic Jaw Surgery

The best way to determine if you require jaw surgery is to contact our Essendon orthodontic clinic to arrange a booking with one of our specialist orthodontists. She will discuss her findings and present all of your options to you, so you can make an informed choice about the future of your oral health and appearance.

Meet Our Doctors:

Dr Tracey Shell BDSc, Grad Dip Clin Dent (Ortho), MDSc
Specialist Orthodontist

In 2001, Tracey qualified as an orthodontist and in 2006 started Pure Orthodontics. Tracey loves being an orthodontist because of the difference it can make to a person’s life.  Aside from the physical transformation that comes with straight teeth, she really loves seeing her patient’s self-esteem improve.  Her favourite thing is getting to the end of a patient’s orthodontic journey and looking back at the photographs taken along the way.

Tracey obtained ...

Dr. Phillip Goh BDSc (Hons), DClinDent (Orth), MRACDS (Orth)
Specialist Orthodontist

Dr. Phillip Goh grew up in Melbourne, before moving to Brisbane to study dentistry & orthodontics at The University of Queensland. He graduated as valedictorian and with first class honours, before working as a Public Dental Officer in Bundaberg, and then in private general dental practice in Toowoomba and Brisbane.


After completing the Primary Examination in General Dental Practice with commendations, he returned to The University of Queensland, completing his ...

Book Your Evaluation with Our Experienced Team
Contact Us