Skip to main content
Fixed Orthodontic Braces
Enjoy an Amazing New Smile with Traditional Braces
Contact Us

Fixed Orthodontic Braces

 

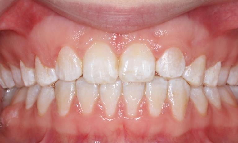
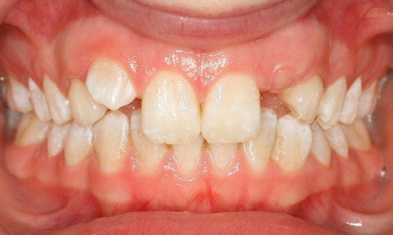
Not many of us are naturally blessed with perfectly aligned teeth and an ideal bite, so it’s fortunate that orthodontic treatment is available for those wishing to address their orthodontic concerns. Braces are the most common and best-known orthodontic appliance used to correct misaligned teeth. While they have been around for a while, they are still the benchmark to which all other treatment options are compared. Braces are often called fixed appliances because they are “fixed” or glued to the teeth. 

How do Braces Work?

Traditional braces are made of tiny brackets which are glued onto each tooth. They are then connected with a thin wire, which is adjusted or changed periodically to gradually align your teeth and correct your bite – making them an effective and reliable treatment option for patients of all ages. Click here to read our braces information guide and here to read our braces instruction guide.
 
There are many different brands of braces available. At Pure Orthodontics, we choose to use Damon™ braces as we believe they are the very best in orthodontic technology. Read more about Damon™ Braces at www.damonbraces.com.

Damon Braces Are Available in Metal or Ceramic: The Choice Is Yours

Metal Braces

Metal brackets are the most commonly used appliances used for straightening teeth. They are made out of medical-grade stainless steel - which makes them durable, safe and compact. Braces can be left in their original metal form, or can be decorated with different coloured elastic ‘chains’ if desired. For this reason, metal braces are often a popular choice with kids and teens.

Ceramic Braces

Ceramic braces are a brilliant aesthetic alternative to traditional metal braces. Rather than using stainless steel, the brackets are made from a hard ceramic material to blend in with the tooth colour. This produces a more aesthetically pleasing appliance, making them a popular choice for many of our adult patients. We use Damon Clear™ brackets, which do not discolour or stain during treatment and are a very reliable way of achieving a great result.

Are You Ready to Take the First Step toward a Straight Smile?

Whether you require an evaluation for yourself or your child, our specialist orthodontists in Essendon, will go over your treatment options with you including the pros and cons of each.  That way, you’ll be able to make an informed decision about what treatment option will work best for you or your child.

Frequently Asked Questions

Not at all!  Having braces put on is a very easy, quick and comfortable process.

We use Damon braces because we believe they are the best available and offer them in both metal and ceramic versions.

Metal braces: Metal braces are made of medical-grade stainless steel and are the most common option selected by our patients. They are particularly popular among children and young teen patients, who often enjoy personalising their braces with colours.  

Ceramic Braces: These brackets are made of a translucent material, making them less obvious than metal braces. These braces are placed on the six upper front teeth and are a popular choice for adults and older teens because of their improved aesthetics. 

The treatment time necessary for braces depends on the severity of your bite problem. Typically, full orthodontic treatment takes between 18-24 months for most patients, but this can vary depending on many factors. You can do many simple things to keep your treatment on time, such as making sure you come to all of your appointments, avoid breaking your braces, and wearing your elastics as directed.

There are also individual biological factors that influence treatment time, which means that some people’s teeth move faster than others.  

 

You may experience some discomfort for a few days after braces are placed and after they are adjusted. This is normal and occurs because your teeth are starting to move. To help reduce discomfort after orthodontic adjustments, we recommend using over-the-counter pain relief and eating soft foods that don’t require a lot of chewing.

You may also find you get some ulceration inside your mouth in the first week or two after your braces are fitted. The ulcers will disappear as you get used to your braces. We’ll give you some orthodontic wax so that you can navigate this time as comfortably as possible.

Simply give us a call when you are ready to book your consultation with Dr Shell. Our experienced team looks forward to helping you with your orthodontic needs.

When you complete your orthodontic treatment, you’ll be fitted with a retainer to maintain your result. If you don’t wear a retainer, your teeth will want to return toward their original position.

Retainer wear is a life-long commitment. No matter how well your teeth are straightened, scientific research has clearly demonstrated that your teeth can shift throughout your life and is a normal age-related change.

For most patients, retainers need to be worn full time for the first six months after their treatment has been completed. After this, retainers will need to be worn at night time on an ongoing basis.

 

Meet Our Doctors:

Dr Tracey Shell BDSc, Grad Dip Clin Dent (Ortho), MDSc
Specialist Orthodontist

In 2001, Tracey qualified as an orthodontist and in 2006 started Pure Orthodontics. Tracey loves being an orthodontist because of the difference it can make to a person’s life.  Aside from the physical transformation that comes with straight teeth, she really loves seeing her patient’s self-esteem improve.  Her favourite thing is getting to the end of a patient’s orthodontic journey and looking back at the photographs taken along the way.

Tracey obtained ...

Dr. Phillip Goh BDSc (Hons), DClinDent (Orth), MRACDS (Orth)
Specialist Orthodontist

Dr. Phillip Goh grew up in Melbourne, before moving to Brisbane to study dentistry & orthodontics at The University of Queensland. He graduated as valedictorian and with first class honours, before working as a Public Dental Officer in Bundaberg, and then in private general dental practice in Toowoomba and Brisbane.


After completing the Primary Examination in General Dental Practice with commendations, he returned to The University of Queensland, completing his ...

Book an Appointment with Our Friendly Team
Contact Us